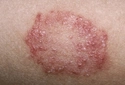
Bebeklerde Mantar Belirtileri ve Tedavisi
Bebeklerde mantar enfeksiyonları, cilt ve mukozalarda sıkça görülen bir sağlık sorunudur. Bağışıklık sisteminin zayıf olması, antibiyotik kullanımı ve nemli ortamlar gibi faktörlerden etkilenir. Belirtiler arasında kızarıklık, kaşıntı ve beyaz lekeler yer alır. Erken tanı ve uygun tedavi önemlidir.
Bebeklerde mantar enfeksiyonları, genellikle ciltte ve mukozalarda görülen yaygın bir sağlık sorunudur. Bu enfeksiyonlar, bebeklerin bağışıklık sisteminin henüz tam olarak gelişmemiş olmasından dolayı, diğer yaş gruplarına göre daha sık yaşanmaktadır. Aşağıda bebeklerde mantar enfeksiyonlarının belirtileri ve tedavi yöntemleri detaylı bir şekilde açıklanacaktır. Mantar Enfeksiyonlarının NedenleriBebeklerde mantar enfeksiyonlarının başlıca nedenleri arasında şunlar yer almaktadır:
Bebeklerde Mantar BelirtileriBebeklerde mantar enfeksiyonunun belirtileri, enfeksiyonun türüne göre değişiklik gösterebilir. Genel olarak görülen belirtiler şunlardır:
Tedavi YöntemleriBebeklerde mantar enfeksiyonu tedavisi, enfeksiyonun türüne ve şiddetine bağlı olarak değişiklik göstermektedir. Genel tedavi yöntemleri şunlardır:
Önleme YöntemleriBebeklerde mantar enfeksiyonlarını önlemek için aşağıdaki yöntemler uygulanabilir:
SonuçBebeklerde mantar enfeksiyonları, erken teşhis ve tedavi ile kontrol altına alınabilir. Belirtilerin fark edilmesi durumunda, bir sağlık profesyoneline başvurulması önemlidir. Ayrıca, hijyenik önlemler ve doğru bakım yöntemleri ile bu tür enfeksiyonların önlenmesi mümkündür. Bebeklerin sağlığı için dikkatli bir izleme ve müdahale gerekmektedir. Ekstra BilgilerBebeklerde mantar enfeksiyonları konusunda ebeveynlerin bilinçlenmesi oldukça önemlidir. Ayrıca, bu tür enfeksiyonların tekrarlanmaması için uzun vadeli önlemlerin alınması gerekmektedir. Mantar enfeksiyonları, bebeklerin gelişiminde olumsuz etkiler yaratabileceğinden, bu durumun ciddiyetle ele alınması gerekmektedir. |















































Bebeklerde mantar hastalığının oluşumunu önlemek için alınması gereken önlemleri okurken, gerçekten dikkat edilmesi gereken birçok nokta olduğunu düşündüm. Özellikle hijyen kurallarının ne kadar önemli olduğunu vurgulamanız çok yerinde. Benim bebeğim de bazen terliyor ve bu tür durumlarda cildine dikkat etmeye çalışıyorum. Çamaşırların ayrı yıkanması gerektiği ve bebeklerin kıyafetlerinin ter emen malzemelerden yapılması gerektiği bilgileri oldukça faydalı. Peki, bebeğin cildinde herhangi bir tahriş gördüğünüzde ne yapmalısınız? Hemen doktora mı başvurmalısınız yoksa evde uygulayabileceğiniz bir tedavi yöntemi var mı?
Merhaba Kökten,
Yorumunuz için teşekkür ederim. Bebeklerde mantar hastalığının önlenmesi gerçekten çok önemli bir konu. Hijyen kurallarına dikkat etmek, bebeğinizin sağlığını korumak açısından kritik bir rol oynar. Cilt tahrişleri konusunda ise, öncelikle durumu dikkatlice gözlemlemek önemlidir. Eğer tahriş hafifse, evde uygulanabilecek bazı basit yöntemler vardır; örneğin, cildin havalandırılmasını sağlamak, pamuklu ve rahat kıyafetler giymek, tahrişli bölgeyi temiz ve kuru tutmak gibi. Ancak, tahrişin şiddetli veya uzun süreli olması durumunda mutlaka bir doktora başvurmalısınız. Bu, en doğru yaklaşım olacaktır. Bebeğinizin sağlığı her şeyden önce gelir. Tekrar teşekkürler ve umarım bebeğinizin cildi her zaman sağlıklı olur!